กองอายุรกรรม
โรงพยาบาลภูมิพลอดุลยเดช กรมแพทย์ทหารอากาศ
BHUMIBOL ADULYADEJ HOSPITAL
Login สำหรับเจ้าหน้าที่ Login | เลือกธีมปกติ เลือกธีมผู้ที่ตาบอดสี | A A A
หน้าแรก/BAH Image Quiz/รายละเอียดข่าว

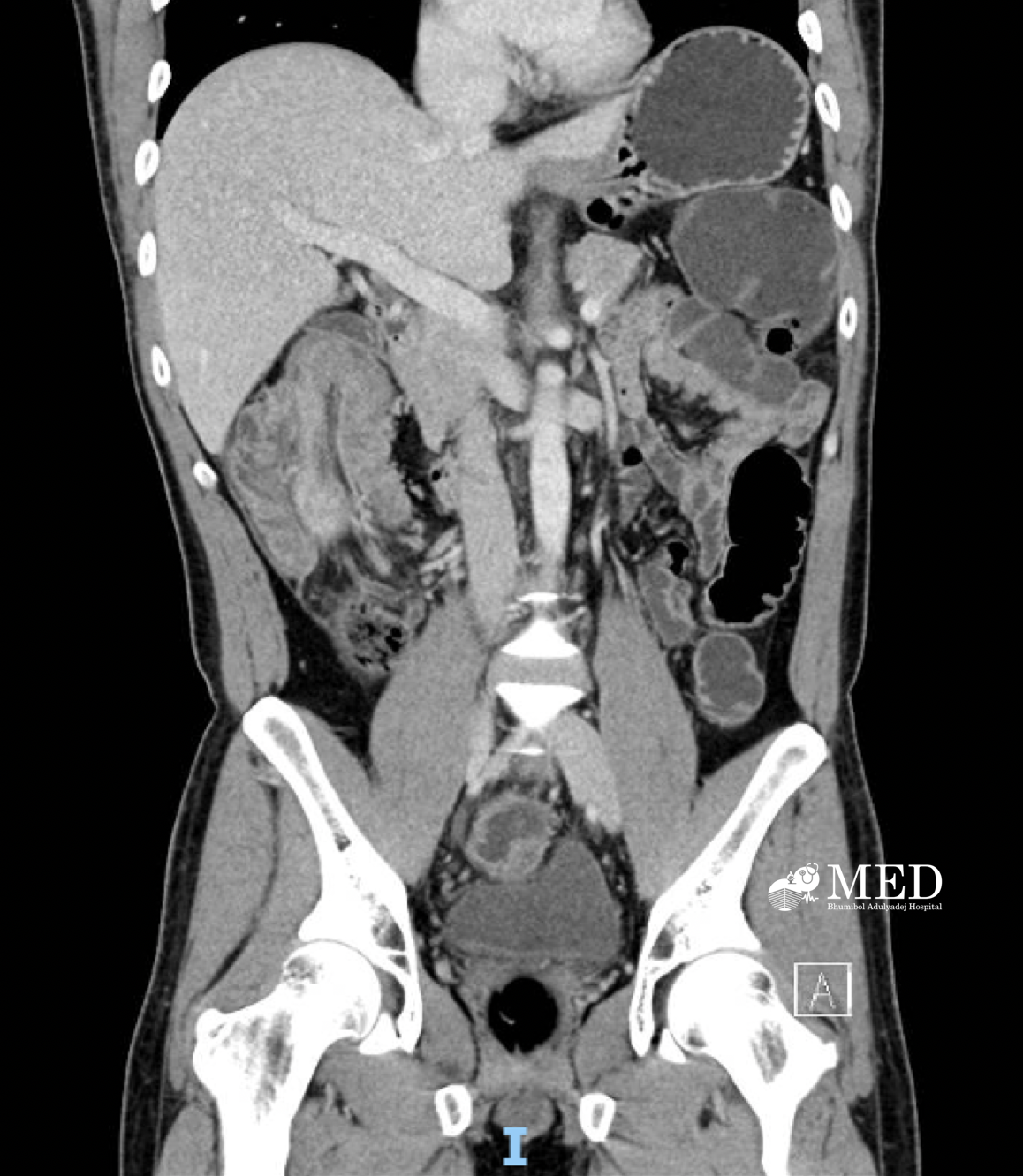
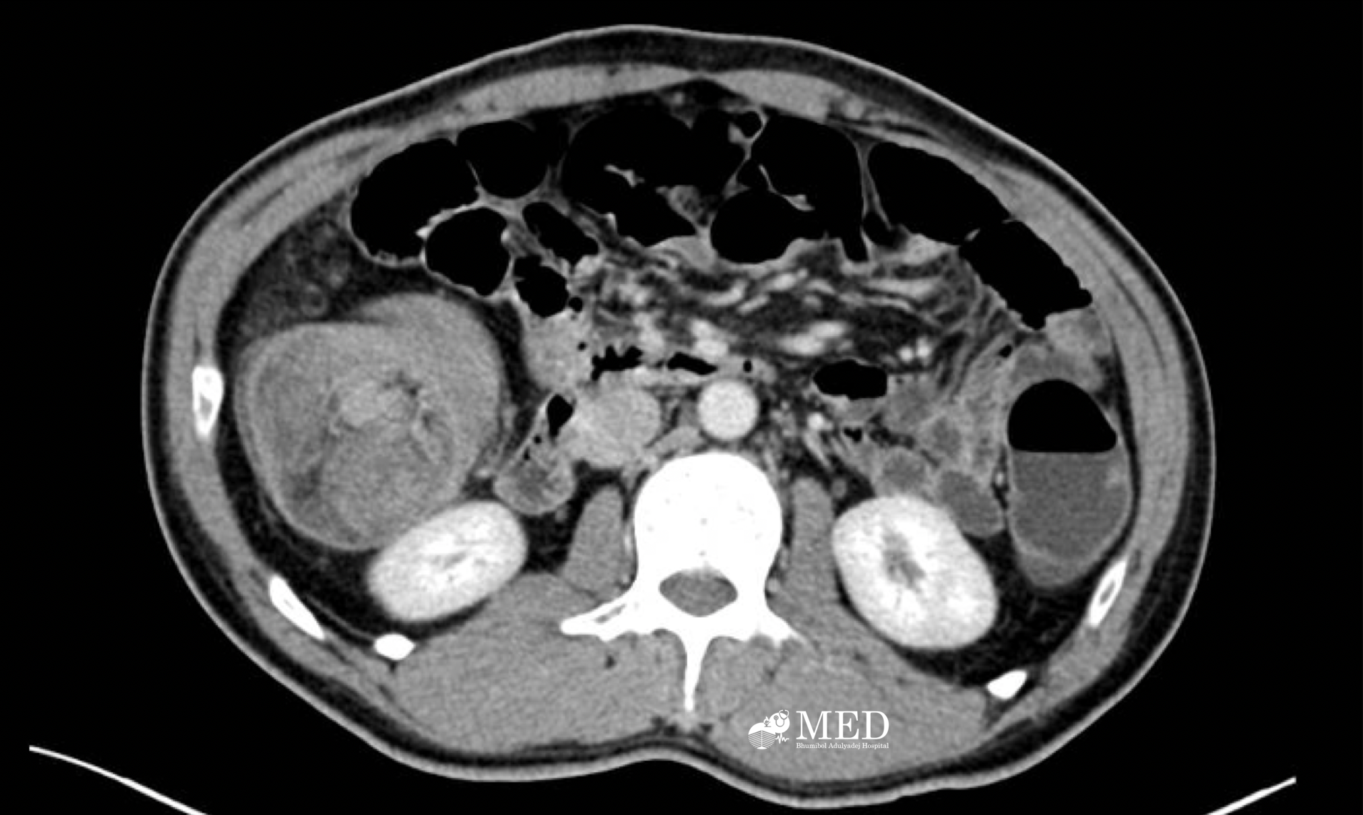
103. A 41-year-old man with abdominal pain and significant weight loss.

วันที่ created 13 ต.ค. 2568 11:13 วันที่ edited 13 ต.ค. 2568 11:16 | เข้าชมแล้ว 40 | admin3

Case male 41 years old, no known underlying disease, presented with abdominal pain for 7 weeks and significant weight loss 4 kg in 2 months.

Question:  Please describe the film and give the diagnosis.

โดย นพ.นัทตกานต์ อานันทสามิต แพทย์ประจำบ้านต่อยอดสาขาอายุรศาสตร์โรคระบบทางเดินอาหาร และ ร.อ.หญิง รัชนก  สรรพวัฒน์ อาจารย์หน่วยอายุรศาสตร์โรคระบบทางเดินอาหาร กองอายุรกรรม โรงพยาบาลภูมิพลอดุลยเดช กรมแพทย์ทหารอากาศ


 

ANSWERs